太灵通论坛

标题: 靖江78岁老人身上拆下一颗“定时炸弹”! [打印本页]

作者: 痛定思痛。    时间: 2023-9-19 10:12
标题: 靖江78岁老人身上拆下一颗“定时炸弹”!
近日,普外甲状腺病区为78岁的刘奶奶实施了巨大甲状腺肿的手术治疗,彻底解除了她40多年的困扰,目前,她恢复良好、康复出院。


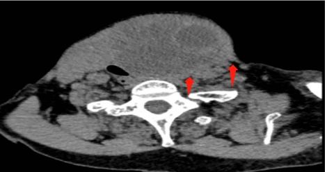
78岁的刘奶奶因颈部巨大甲状腺肿困扰多年,家人带她求医问药,但因种种原因没有继续治疗,今年以来她自感肿块越来越大,严重影响到生活起居,于是家人便带她至我院甲状腺科诊治,在术前的颈部CT显示,肿块已经导致气管、食管明显受压、移位。当务之急是要尽早手术切除,解除压迫。





入院后,甲状腺科主任、副主任医师孙磊联合麻醉科主任、主任医师杜海靖,副主任医师刘明基一起为刘奶奶作术前评估,做好气管插管条件、术后气管软化应急预案等措施,为手术的安全实施提供必要保障。





因为术前做好了充足的准备,巨大的甲状腺肿物被完整切除,其周围的重要神经、血管、气管和食道均未损伤。孙磊介绍,这是甲状腺病区迄今为止切除的最大甲状腺肿物,请有甲状腺肿物的患者要注意密切随访,防止肿物的增大造成气管、食管等重要脏器的受损,同时肿物的增大也会增加手术的难度,术后更容易产生各种并发症。





本次手术的顺利完成,得益于医院各部门的通力合作、甲状腺外科、麻醉科团队在诊治上的规范把控和精确落实,为创建三甲医院在核心技术上又一次实现重大突破。






欢迎光临 太灵通论坛 (http://bbs.tlt.cn/) Powered by Discuz! X3.2