太灵通论坛

 找回密码
 注册

QQ登录

只需一步,快速开始

查看: 3314|回复: 0
打印 上一主题 下一主题

[聚焦民生] 靖江78岁老人身上拆下一颗“定时炸弹”!

[复制链接]

该用户从未签到

跳转到指定楼层
楼主
发表于 2023-9-19 10:12 | 只看该作者 |只看大图 回帖奖励 |倒序浏览 |阅读模式 | 来自江苏
近日,普外甲状腺病区为78岁的刘奶奶实施了巨大甲状腺肿的手术治疗,彻底解除了她40多年的困扰,目前,她恢复良好、康复出院。


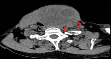
78岁的刘奶奶因颈部巨大甲状腺肿困扰多年,家人带她求医问药,但因种种原因没有继续治疗,今年以来她自感肿块越来越大,严重影响到生活起居,于是家人便带她至我院甲状腺科诊治,在术前的颈部CT显示,肿块已经导致气管、食管明显受压、移位。当务之急是要尽早手术切除,解除压迫。





入院后,甲状腺科主任、副主任医师孙磊联合麻醉科主任、主任医师杜海靖,副主任医师刘明基一起为刘奶奶作术前评估,做好气管插管条件、术后气管软化应急预案等措施,为手术的安全实施提供必要保障。





因为术前做好了充足的准备,巨大的甲状腺肿物被完整切除,其周围的重要神经、血管、气管和食道均未损伤。孙磊介绍,这是甲状腺病区迄今为止切除的最大甲状腺肿物,请有甲状腺肿物的患者要注意密切随访,防止肿物的增大造成气管、食管等重要脏器的受损,同时肿物的增大也会增加手术的难度,术后更容易产生各种并发症。





本次手术的顺利完成,得益于医院各部门的通力合作、甲状腺外科、麻醉科团队在诊治上的规范把控和精确落实,为创建三甲医院在核心技术上又一次实现重大突破。

分享到:  QQ好友和群QQ好友和群 QQ空间QQ空间 腾讯微博腾讯微博 腾讯朋友腾讯朋友
收藏收藏 分享分享 支持支持 反对反对
您需要登录后才可以回帖 登录 | 注册

本版积分规则

公司信息
关于我们
诚聘英才
网站声明
xml地图
用户帮助
会员规则
商务合作
合作方式
商家入驻
联系我们
获取更新
新浪微博
腾讯微博
手机客户端二维码
太灵通微信二维码
泰州 | 房产 | 家装 | 美食 | 论坛 |
关于我们 | 合作方式 | 诚聘英才 | 网站声明 | 联系我们 | 访问统计
Copyright © 2009 - 2019 泰州未来网络科技有限公司. All Rights Reserved
增值电信业务经营许可证:苏B2-20190103 苏ICP备18045299号
太灵通常年法律顾问:江苏戴维律师事务所 陈东 律师 15240200003
网警 信息监察 不良举报